近日,我院乳腺诊疗中心与影像科磁共振室强强联合,成功为多位乳腺癌患者实施了世界先进、国内罕见的仰卧位乳腺磁共振检查。此项技术的成功开展,不仅填补了我院在该领域的空白,更标志着我院在乳腺癌精准诊疗领域迈入了国际先进行列,为复杂乳腺癌病例的手术规划与放疗定位提供了精准、高效的影像支持。
技术巅峰:仰卧位MRI攻克国际公认体位偏差难题
乳腺癌的精准诊疗高度依赖于高质量的影像学评估。传统乳腺磁共振检查多采用俯卧位,此时乳腺因重力作用发生形变,与手术及放疗时患者实际的仰卧位状态存在显著差异,导致病灶位置、大小及与周围组织关系的判断出现偏差,影响保乳手术的切缘阴性率和放疗靶区的精确勾画,这一问题一直是国际乳腺影像与肿瘤治疗领域的挑战。
此次成功实施的仰卧位乳腺磁共振检查技术,正是针对这一国际难题的突破性解决方案。该技术采用3.0T高场强磁共振配合专用柔性线圈,使患者在自然仰卧位状态下接受检查,乳腺形态与手术/放疗体位完全一致。通过多序列、多参数成像(包括动态增强扫描DCE-MRI、弥散加权成像DWI及T2加权成像等),能够较好的清晰度与准确性呈现手术状态下乳腺肿瘤与周围结构的关系,指导手术治疗。
此次高难度检查的顺利完成,得益于我院多学科团队的紧密协作(MDT)。乳腺诊疗中心凭借丰富的临床经验精准筛选适应症,磁共振室则以精湛的技术操作确保了图像质量,双方专家共同阅片、反复论证,为患者制定了最优化的检查方案。乳腺诊疗中心名誉主任宋张骏教授指出:“仰卧位MRI为我们提供了一个与患者真实手术状态完全一致的‘虚拟手术视野’。我们能够清晰地看到肿瘤在仰卧位下的真实位置、大小及其与皮肤、胸肌、乳头的关系,这对于制定保乳手术方案、确定安全切缘以及评估新辅助治疗效果具有不可替代的价值。”
临床价值卓越:开启乳腺癌精准治疗新篇章
仰卧位乳腺磁共振检查的临床价值体现在多个维度。俯卧位MRI可能成为手术定位的“金标准”,具备提升保乳手术的成功率,最大限度保留患者乳房外形与功能。其次,可作为保乳术后放疗规划“导航仪”,为放疗科医生提供与体位完全一致的靶区图像,实现放疗剂量的精准投递,有效保护心脏、肺等重要器官,减少放疗副作用,提高患者生活质量。
我院乳腺诊疗中心名誉主任宋张骏教授表示:“仰卧位乳腺磁共振检查技术的成功开展,是我院积极引进国际前沿技术、不断提升核心竞争力的成果体现。这不仅是一项技术的突破,更是我院致力于为西北地区乃至全国患者提供与国际同步的高水平医疗服务的有力证明。该项技术在国内尚属罕见,我院率先掌握并应用于临床,将为复杂疑难乳腺癌患者的个体化治疗带来革命性的改变。”
未来,我院将继续深耕乳腺疾病诊疗领域,不断探索和应用国际先进技术,深化多学科协作,努力打造国内领先、国际接轨的乳腺疾病诊疗中心,为广大女性的乳腺健康保驾护航。

图1 俯卧位与仰卧位对比 患者舒适度增加

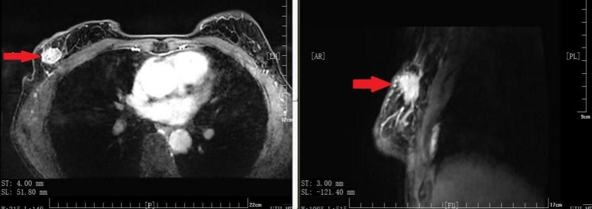
图2 常规大小乳房仰卧位MRI图像红色箭头指示肿瘤
图3 超大乳房俯卧位MRI图像常规俯卧位乳腺前部接触底板,形态异常,无法评估局部情况