近日,肿瘤内科开展IQQA-Guide智能手术导航机器人引导下的肿瘤穿刺定位、活检术,成功为一名小肠间质瘤伴右肺结节患者完成肺部结节穿刺活检。根据病理结果,诊断为双原发肿瘤(小肠间质瘤、肺腺癌)。
IQQA-Guide穿刺手术导航设备是以“IQQA个性化3D全量化脏器电子地图”为核心的新一代机器人导航系统,具有实时定位、跟踪、引导、监控等特点,能够进一步提高CT引导下操作的安全性和可靠性。该项技术开展,有力保证了CT引导下穿刺定位、活检、微波消融、放射性粒子植入等介入治疗的精准开展,为肿瘤微创介入治疗开展提供有利支持。
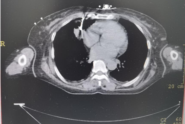
病例简介:一例小肠间质瘤伴右肺结节患者
拟行:IQQA-Guide导航下右肺穿刺活检术



▲上图:IQQA-Guide术中全程三维量化实时定位、跟踪、引导及监控,辅助医生精准穿刺

▲上图:穿刺到位

▲上图:肿瘤内科雷雨副主任医师在IQQA-Guide引导下实施肿瘤穿刺活检术

▲上图:肿瘤穿刺组织

病理报告:低分化腺癌,该患者为双原发肿瘤。